Dans l’univers complexe de la médecine, le diagnostic précis des troubles digestifs représente un défi constant pour les professionnels de santé. Heureusement, l’avancée technologique a mis à leur disposition une panoplie d’outils diagnostiques, parmi lesquels le Transit Œso-Gastro-Duodénal (TOGD) joue un rôle primordial. Cet article vous invite à explorer en détail pourquoi et comment le TOGD s’est imposé comme un examen incontournable dans l’évaluation des pathologies du système digestif.
Qu’est-ce que le TOGD ?
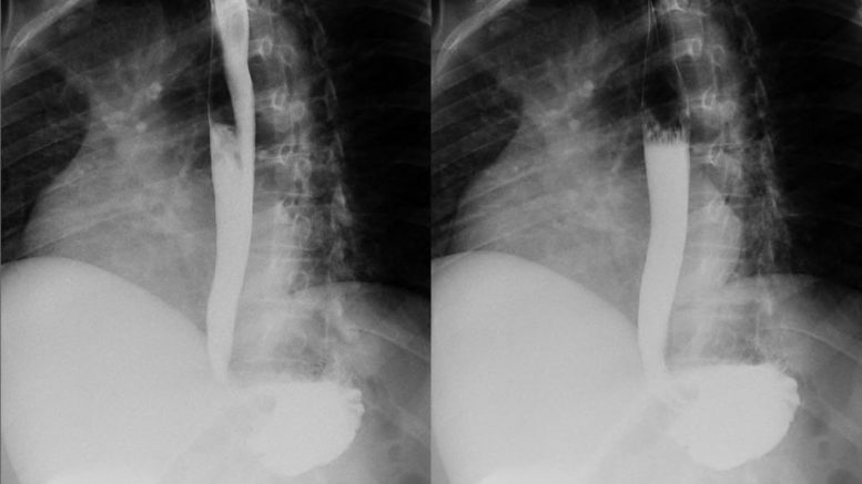
Avant de plonger dans la profondeur de son importance, il est essentiel de définir ce qu’englobe le TOGD. Essentiellement, il s’agit d’une radiographie spécifique de l’œsophage, de l’estomac et du duodénum. Cette procédure demande au patient de consommer un produit de contraste, généralement à base de baryum, qui rendra visible ces organes sur les clichés radiographiques. Les images obtenues permettent alors aux médecins d’identifier diverses anomalies telles que les ulcères, les tumeurs, et les rétrécissements des conduits digestifs.
Le rôle crucial du TOGD dans le diagnostic des troubles digestifs
Le TOGD occupe une place centrale dans le diagnostic des pathologies gastro-intestinales pour plusieurs raisons. Premièrement, cet examen offre une visualisation directe et détaillée des structures anatomiques internes, ce qui aide considérablement à repérer d’éventuelles anomalies structurelles ou fonctionnelles. De plus, sa capacité à différencier les conditions pathologiques des problèmes fonctionnels est inégalée, car il montre non seulement la forme mais aussi le mouvement des liquides à travers le système digestif.
En outre, dans certains cas où les symptômes sont ambigus ou lorsque d’autres examens comme l’endoscopie ne sont pas concluants, le TOGD peut fournir des éclaircissements supplémentaires. Il devient ainsi un complément essentiel pour affiner le diagnostic et orienter vers le traitement adéquat.
Quand est-il recommandé de réaliser un TOGD ?
La recommandation de réaliser un TOGD vient souvent après l’évaluation initiale des symptômes présentés par le patient. Parmi ces indicateurs figurent la difficulté à avaler (dysphagie), les douleurs persistantes au niveau du thorax ou de l’estomac, les vomissements fréquents sans cause apparente et la présence d’un saignement digestif. Ces symptômes peuvent être le signe avant-coureur de conditions plus graves telles que les sténoses (rétrécissements), les hernies hiatales, ou même des cancers du système digestif.
Il est également indiqué en cas d’échec ou d’insuffisance d’informations suite à une endoscopie digestive haute. Dans cet aspect, le TOGD n’est pas seulement un outil diagnostique mais également une intervention stratégique pouvant guider la prise en charge thérapeutique.
, le Transit Œso-Gastro-Duodénal symbolise une avancée majeure dans le domaine de la gastro-entérologie et s’est révélé être un outil diagnostic d’une valeur inestimable. À travers la fourniture d’images précises et détaillées des composantes essentielles du système digestif, le TOGD permet aux médecins d’établir des diagnostics plus précis et d’affiner leurs approches thérapeutiques. Face aux mystères souvent ardues du ventre humain, cet examen joue donc un rôle crucial non seulement dans la mise au jour des maladies mais aussi dans l’amélioration significative de la qualité de vie des patients. Le recours au TOGD devrait donc être envisagé chaque fois que les conditions l’exigent, offrant ainsi une perspective claire sur l’origine des troubles digestifs et ouvrant la voie vers un traitement adéquat.
